「てんかん」と聞くと、泡を吹いて倒れ、けいれんすることが頭に浮かぶかもしれません。しかし、このような全身けいれんは、てんかん発作のごく一部です。 頭痛、吐き気、心臓がどきどきする、夢遊病者のように歩き回る、動作が停止しボッーと一点を見つめる、など色々な症状があります。
てんかんとは、脳の特定の場所が過剰に興奮したときに起きる現象です。ヒトの体は脳の指令により働いているので、脳のどの部位が過剰に興奮するかにより、どんな症状でも出現します。笑い出す、泣き出す、床を転げ回る、大声をあげて叫ぶ、などなど、ヒトのする行動は、すべててんかん発作の症状になり得ます。
罹病率は人口10万人につき0.5人で、日本では約60万人の患者がおられます。年間平均発病率は人口10万人につき30人で、決してめずらしい病気ではありません。
脳の神経細胞の特定の場所だけがどうして興奮するのでしょうか。異常な電気回路が脳の一部に形成され、電気の配線がショートしたような状態になってしまい、通常なら、さざ波のような脳波が出ている細胞群から、激しい津波のような連続した波が出て、その付近一帯が異常な興奮状態に陥ります。
てんかんの原因が明らかな場合を「症候性てんかん」、原因不明の場合を「特発性てんかん」といいます。てんかんの原因は、過去の脳の傷(出産時の脳障害、髄膜炎、脳炎、脳血管障害など)、大脳の形成障害、脳腫瘍などがあります。
まず症状が本当にてんかんであるかどうかを診断することが大切です。一見てんかん発作と似たような症状でも、全く別の病気のことがあります。
てんかんの診断は、発作症状が最も大切です。発作前、発作中、発作後の症状をご家族から聞くことが診断に役立ちます。
脳波はてんかん診断にきわめて重要です。ただ、脳波は刻々と変化し、体調も大きく影響するので、一度の脳波検査では診断できないことがあります。てんかんが疑われた場合は繰り返し脳波を行ったり、一晩中脳波を行う終夜脳波検査などを行うこともあります。
てんかんの原因となりうる大脳の形成障害や脳腫瘍などがないか、MRI、CT、SPECT、PETなどの検査を行います。

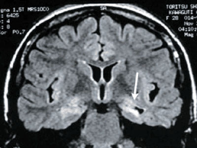
↑側頭葉てんかんの「海馬硬化症」
てんかん治療の基本は、薬物療法です。反復する発作を長期間放置すると、大きな後遺症につながります。脳に有害なてんかん波を止めることが大切です。現在は10種類以上の抗てんかん薬があり、発作のタイプ、頻度、薬の副作用、患者さんの年齢などを基準に、薬を選択します。
適切な薬物療法にも関わらず、てんかん発作がコントロールできない場合(難治性てんかん)で、発作を起している脳の場所が同定でき、機能に影響を与えないことなど特別な場合に限り、外科的治療を考慮します。
てんかんかな?とお悩みの方、お気軽に当院のてんかん外来にお越し下さい。